• 二炮总医院:干细胞移植为糖尿病患者带来新福音
    0

    二炮总医院:干细胞移植为糖尿病患者带来新福音

    北京61岁的黄阿姨6年前出现口干、多饮、多尿的症状,经检查被确诊为2型糖尿病,6年来,实施了控制饮食、加强运动、注射胰岛素等多种治
    15
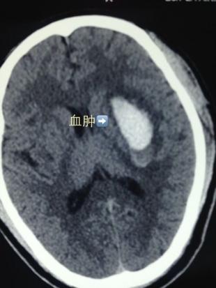
  • 顾建文:修复脊髓空洞的“感觉分离”
    0

    顾建文:修复脊髓空洞的“感觉分离”

    2015年2月11日,是北方少年,对于来自长春的姑娘小马而言,今天没有喜悦,只有惶恐和忐忑不安。她的手术安排在今天......25
    34
  • 周岩:我拉回踏入了鬼门关的民工
    0

    周岩:我拉回踏入了鬼门关的民工

    专家简介:周岩,空军总医院神经外科副主任医师,医学博士。2008年于解放军总医院(301医院)获神经外科医学博士学位。2007年获
    23
  • 空军总医院成功切除一例巨大听神经鞘瘤
    0

    空军总医院成功切除一例巨大听神经鞘瘤

    2月3日,患有巨大听神经鞘瘤的26岁的雪雁(化名),在空军总医院神经外科成功接受了手术,令她感到惊喜的是,尽管肿瘤与神经粘连在一起
    16
  • 空军总医院呼吸内科专家巧取支气管异物
    0

    空军总医院呼吸内科专家巧取支气管异物

    近日,空军总医院呼吸内科采用支气管镜技术,在本科气管镜室,为一位来自山东农村的中年女性,去除了卡在她右肺支气管内、比蚕豆还要大一些
    21
  • 二炮总医院成功实施全国首例骶神经刺激术
    0

    二炮总医院成功实施全国首例骶神经刺激术

    26岁小伙先天大便失禁:苦不堪言肛肠专家妙手实施手术:峰回路转在二炮总医院结直肠肛门外科病房,一位26岁小伙看上去精神饱满,不时露
    11
  • 空军总医院神经外科专家顾建文妙手医治“面目全非症”
    0

    空军总医院神经外科专家顾建文妙手医治“面目全非症”

    核心提示:北京某邮电局的白女士在几年之内越长越丑,口唇肥厚、眼眶突起、鼻子肥大、甚至四肢手足都肿胀肥大,看起来已经“面目全非”。不
    19
  • 重度脑积水花季少女在空军总医院重获新生
    0

    重度脑积水花季少女在空军总医院重获新生

    一个花季少女在父母的陪伴下从新疆慕名来到空军总医院,找到著名的神经外科专家顾建文教授。看着美丽的10岁姑娘,头颅似乎和婷婷玉立的身
    23
  • 二炮总医院实施国际首例脑动脉瘤复合手术
    0

    二炮总医院实施国际首例脑动脉瘤复合手术

    不行,夹闭过渡,有一支动脉不显影了,快速调整夹闭位置……”日前,国际著名脑血管介入专家、二炮总医院副院长姜卫剑率团队为一名战士成功
    17
  • 空军总医院:破解面目全非症
    0

    空军总医院:破解面目全非症

    摘要:空军总医院采用双镜联合法,30分钟微创切除高糖高渗型脑垂体瘤。患者在几年之内“面目全非脚”,口唇肥厚、眼眶突起、鼻子肥大、甚
    23
  • 顾建文:肢体麻木乏力警惕脊髓病变
    0

    顾建文:肢体麻木乏力警惕脊髓病变

    吉林的少女孩珠珠,今年17岁,本是花季少年,正值活力四射的年纪。可就在一年前,发现自己双侧胳膊出现轻微的麻木,手掌的麻木感特别强烈
    34
  • 二炮总医院为患者成功切除26斤巨大纤维肉瘤
    0

    二炮总医院为患者成功切除26斤巨大纤维肉瘤

    日前,二炮总医院骨科为一名44岁男性患者成功切除重达26斤的纤维肉瘤,在骨科是极为罕见的,患者从此过上了正常人的生活,感激之情溢于
    22
  • “天赐的礼物化了妆”
    0

    “天赐的礼物化了妆”

    在自己护士服的衣领上写名字时,王威用字母“V”代替了“威”字。她说,“V”象征胜利。从8岁到26岁,王威用18年的时间战胜了一个劲
    20
  • 海军总医院成功救治国内罕见脊柱后凸患者
    0

    海军总医院成功救治国内罕见脊柱后凸患者

    “我又能挺起腰板直视前方,终于实现了30年的愿望!”近日,海军总医院骨科为一名国内罕见的脊柱后凸120度患者成功实施矫形手术,让患
    27
  • 空军总医院周岩:面肌痉挛的克星
    0

    空军总医院周岩:面肌痉挛的克星

    一上午,我惯常一般的坐在专家诊室里,门口的提示器上不断地呼叫着“神经外科周岩副主任医师的病人请到4诊室就诊”。这时,门被一长相清秀
    15
  • 男子脸被高压电烧伤 “换脸”期待新生活
    0

    男子脸被高压电烧伤 “换脸”期待新生活

    新华社沈阳1月21日电(记者高铭 罗捷)一场高压电烧伤意外,让河北小伙小闫面目全非。在沈阳军区总医院整形外科,小闫接受了包括重建鼻
    31
  • 二炮总医院:院士主刀成功切除巨大海绵状血管瘤
    0

    二炮总医院:院士主刀成功切除巨大海绵状血管瘤

    3个月前,一位重庆的17岁女孩小霞因患罕见血管瘤来到了解放军二炮总医院。经过中国科学院院士、二炮总医院名誉院长汪忠镐两次精心手术,
    33
  • 空军总医院:双镜联合手术让小肠巨大息肉一次去无踪
    0

    空军总医院:双镜联合手术让小肠巨大息肉一次去无踪

    2015年1月20日上午,空军总医院消化内科和普通外科联手,为来自天津患有黑斑息肉病的19岁青年进行了“气囊辅助内镜联合腹腔镜小肠
    35
  • 二炮总医院率先使用超声波无创肿瘤技术
    0

    二炮总医院率先使用超声波无创肿瘤技术

    日前,记者在第二炮兵总医院超声波肿瘤治疗中心看到,一名肝癌患者静静躺在治疗台上,看不到无影灯和手术刀,只见医生在工作台电脑前轻点鼠
    27
  • 二炮总医院千里救治女青年
    0

    二炮总医院千里救治女青年

    23岁农村女孩丹丹因“肠瘘”七年四处求医,花光了家里所有积蓄病情却愈加严重,走投无路之际,著名肝胆外科专家、第二炮兵总医院副院长周
    31
  • 热门评论

    会员最新动态

    精选图文信息